Esperienza e professionalità in parodontologia e chirurgia orale
Specialista in parodontologia e chirurgia orale
Parodontologia avanzata
Trattamenti innovativi per la salute delle gengive.
Assistenza chirurgica orale qualificata e sicura.
Implantologia per un sorriso completo e naturale, con risultati duraturi.
Chirurgia orale
Implantologia
Specialista in parodontologia e chirurgia
Sono un dentista specialista con esperienza pluriennale qualificata in parodontologia e chirurgia orale. Seguo direttamente i pazienti negli studi in cui opero e collaboro con professionisti che necessitano di trattamenti specialistici per i loro pazienti, eseguendo le prestazioni direttamente presso il loro studio.
In qualità di professore a contratto presso l'Università di Milano e dottorando partecipo attivamente a progetti di ricerca e attività didattiche, contribuendo alla formazione di nuovi professionisti nel campo della parodontologia e chirurgia orale in Italia.

Servizi Offerti
Offro consulenze specialistiche in parodontologia e chirurgia orale con un approccio professionale.


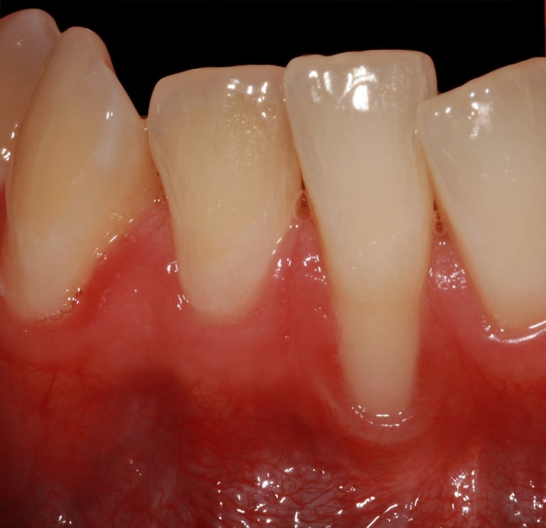
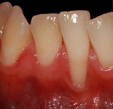
Servizi personalizzati per il trattamento delle gengive, inclusi la cura della parodontite e il trattamento delle recessioni gengivali, offerti da un esperto qualificato.


Include trattamenti come estrazioni complesse, gestione dei frenuli e asportazioni di neoformazioni, che migliorano il benessere e la qualità della vita del paziente.
Soluzioni avanzate di implantologia e innesti ossei per restaurare il sorriso e garantire una base solida e duratura.
Scopri il nostro blog settimanale
Benvenuti nella nostra sezione dedicata ai post del blog, dove condividiamo contenuti aggiornati e interessanti ogni settimana a proposito di parodontologia e implantologia.
Resta informato
Contenuti di qualità
Aggiornamenti settimanali
Galleria
Scopri il nostro lavoro in parodontologia e chirurgia orale.
