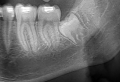
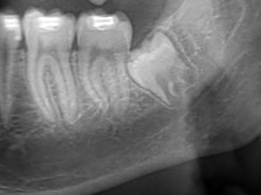
Estrazione Denti Giudizio
I denti del giudizio possono causare dolore e danneggiare i denti vicini: intervenire tempestivamente per proteggere il tuo sorriso.


Servizio Estrazione Denti
Estrarre denti del giudizio con competenza e sicurezza per il tuo benessere.
Assistenza Post-Estrazione
Supporto e cure post-estrazione per una rapida e sicura guarigione.
Consulenza Specializzata
Offriamo consulenze per valutare la necessità di estrazione dei denti del giudizio.
Frenuli rimossi laser
Fotocoagulazione laser angiomi
