
Visita Parodontale
la mia missione salvare i vostri denti!
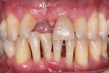
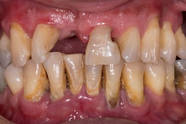
La parodontite può minacciare i tuoi denti, ma con le giuste cure possiamo salvarli e mantenerli sani a lungo.
La visita parodontale è un controllo specialistico approfondito per valutare la gravità della malattia, la prognosi dei denti e pianificare un trattamento mirato.
Durante la visita si valutano le condizioni generali e ogni dente singolarmente, con il supporto di fotografie ed esami radiografici, se necessario.


I tuoi denti muovono o hanno perso osso? Lo sapevi che nella maggior parte dei casi è possibile salvarli e mantenerli per molti anni attraverso 4 fasi?
Non perdere i tuoi denti, affidati a un esperto qualificato per la gestione della parodontite.






1. Informazione del paziente e riduzione/eliminazione dei fattori di rischio
2. Pulizia non chirurgica sottogengivale
3. Gestione degli eventuali siti non rispondenti alla terapia iniziale
4. Terapia di supporto personalizzata
Cura della parodontite



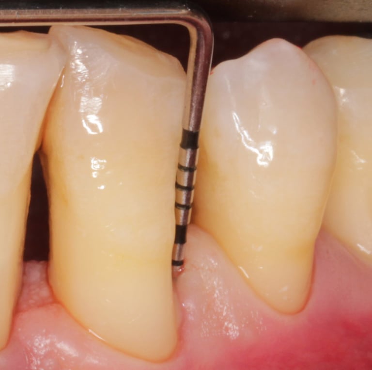
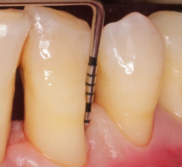
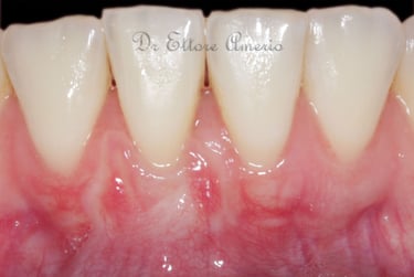
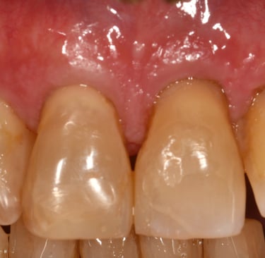
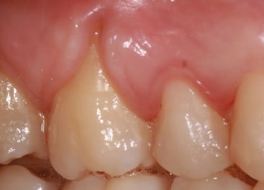
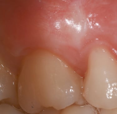
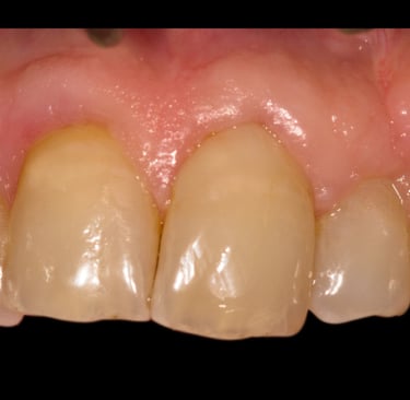
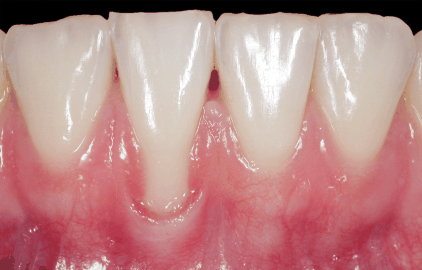
Recessioni Gengivali
Le recessioni gengivali sono una condizione comune in cui la gengiva si ritira, esponendo una parte del dente o della radice. Questo problema non è solo estetico, ma può anche compromettere la salute orale.


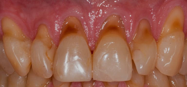
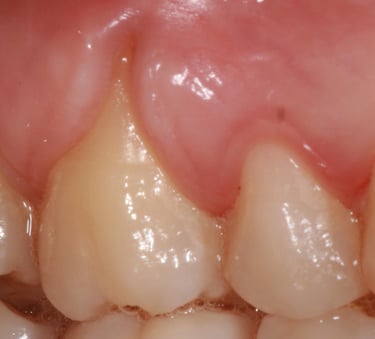
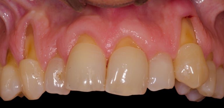
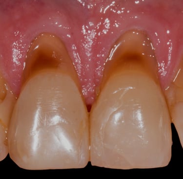
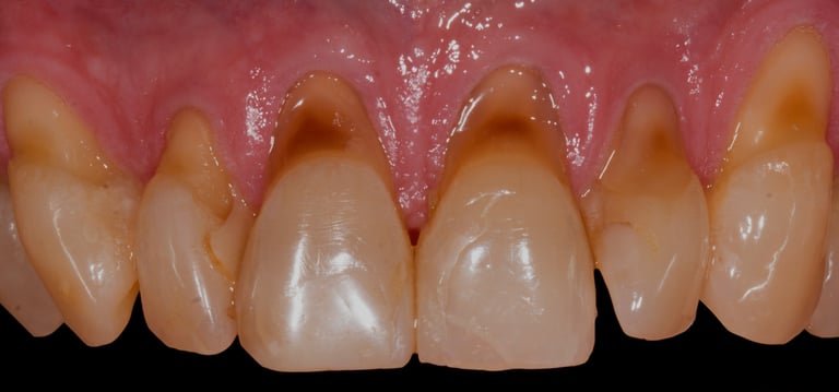
Trattamento Recessioni Gengivali
Tecniche avanzate per trattare le recessioni gengivali e ripristinare il sorriso.
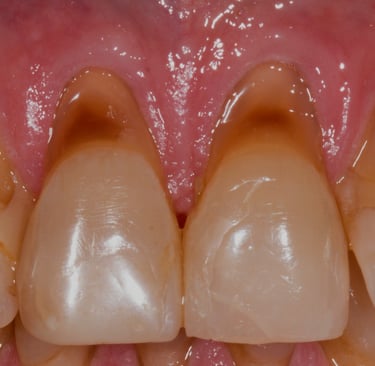
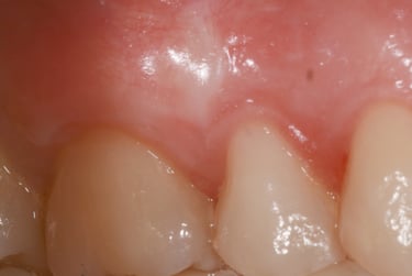
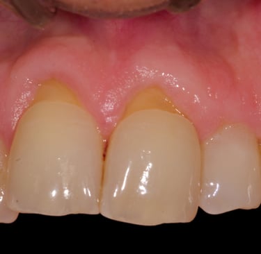
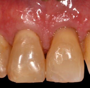
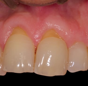
Prevenzione e Cura
Strategie per prevenire e curare le recessioni gengivali, mantenendo gengive sane.
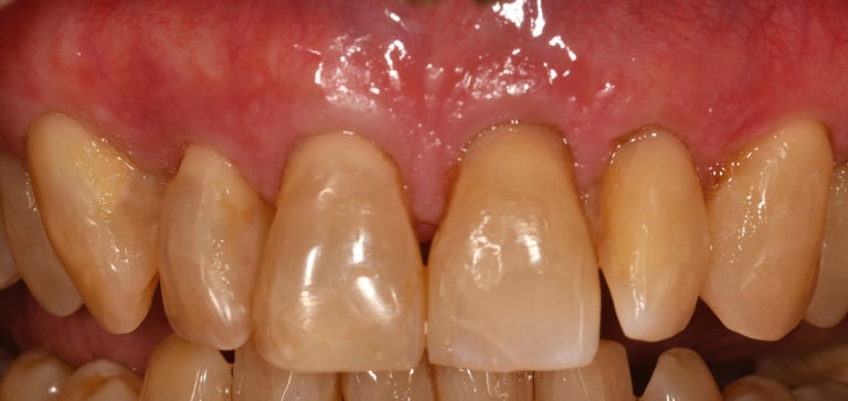
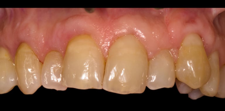
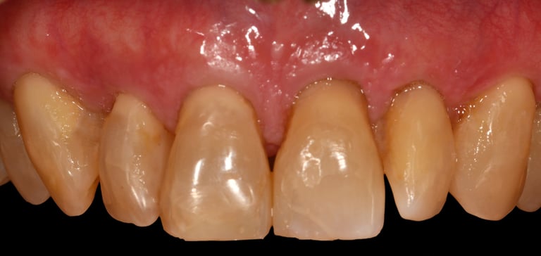
Consulenza Personalizzata
Offriamo consulenze personalizzate per affrontare le recessioni gengivali in modo efficace.


















