È davvero possibile rigenerare l’osso e il legamento attorno ai denti?
Scopri cosa si intende per rigenerazione parodontale, in quali casi è possibile ricostruire l’osso e il legamento attorno ai denti compromessi dalla parodontite.
4/29/20252 min leggere
La rigenerazione parodontale è una delle branche più affascinanti della parodontologia: l’obiettivo è quello di ricostruire i tessuti di supporto del dente (osso, cemento radicolare e legamento parodontale) che sono andati perduti a causa della malattia parodontale, conosciuta anche come piorrea.
Ma è davvero possibile rigenerare?
Sì, la rigenerazione è possibile, ma non sempre. I risultati dipendono da diversi fattori:
Forma del difetto osseo: alcune perdite ossee possono essere trattate più facilmente di altre, e in alcuni casi la rigenerazione non è completamente predicibile.
Livello di igiene orale del paziente: fondamentale per il successo a lungo termine.
Controllo dell’infiammazione: la fase iniziale di terapia causale (rimozione di placca e tartaro) è imprescindibile.
Fumo e malattie sistemiche: possono compromettere la guarigione e ridurre l'efficacia del trattamento.
In cosa consiste il trattamento?
L'intervento rigenerativo prevede un accesso mininvasivo all’area compromessa per una pulizia profonda e l'eventuale applicazione di materiali specifici quali membrane in collagene, innesti ossei e proteine e fattori di crescita. Questi strumenti aiutano a guidare la rigenerazione dei tessuti e a creare un ambiente favorevole per la guarigione.
Quali sono i vantaggi?
Salvataggio del dente che altrimenti sarebbe destinato all’estrazione
Riduzione della profondità delle tasche parodontali
Miglioramento dell’estetica e della funzione
Stabilità a lungo termine, se mantenuto un buon controllo dell’igiene orale
Fa male?
È una domanda più che legittima. La buona notizia è che, grazie alle moderne tecniche mini-invasive, la procedura di rigenerazione parodontale è oggi molto più delicata rispetto al passato. L’intervento si esegue in anestesia locale, quindi non si avverte dolore durante la chirurgia.
Nel post-operatorio, la maggior parte dei pazienti riferisce fastidi lievi e controllabili: spesso è sufficiente un comune antinfiammatorio per alleviare il disagio nei giorni successivi. La morbilità, cioè l’impatto dell’intervento sulla vita quotidiana, è generalmente bassa.
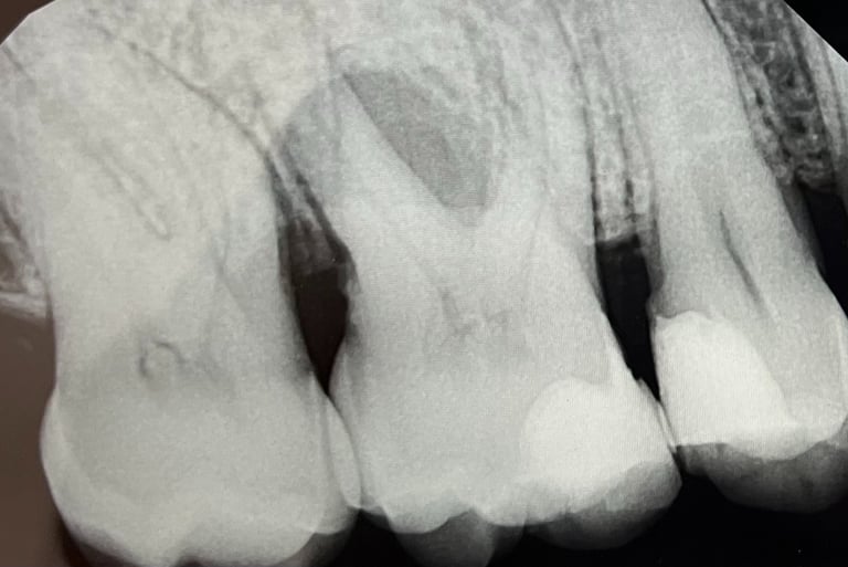
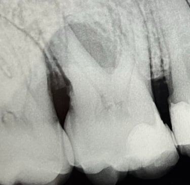
CASO CLINICO
Il primo premolare superiore destro presenta una grave perdita ossea, visibile come un’area grigio scuro lungo il lato destro della radice. Le opzioni di trattamento consistono nel trattamento parodontale o estrazione del dente. A un anno dal trattamento rigenerativo parodontale, si osserva un netto miglioramento della situazione, con un evidente riempimento osseo attorno alla radice nella zona precedentemente compromessa.
Conclusione
La rigenerazione parodontale è una soluzione efficace ma selettiva: non è indicata per tutti i pazienti e richiede una diagnosi accurata, un piano terapeutico personalizzato e una collaborazione attiva del paziente.
Se pensi di avere problemi parodontali, il primo passo è una visita specialistica per valutare la situazione clinica e discutere insieme le opzioni terapeutiche.






