Il mio dentista mi ha detto che ho delle tasche… ma cosa sono?
Spesso durante una visita di igiene o controllo può capitare di sentirsi dire: “Ha delle tasche parodontali.” Ed ecco che subito nasce un po’ di preoccupazione: "Cosa significa? È grave? È una malattia?" Vediamolo insieme in modo semplice.
4/16/20251 min leggere


🦷 Cosa sono le tasche parodontali?
Le tasche sono degli spazi anomali che si formano tra il dente e la gengiva quando il tessuto gengivale si stacca dal dente a causa di un’infiammazione.
In condizioni di salute, la gengiva aderisce saldamente al dente e il solco naturale (detto solco gengivale) è molto superficiale, di solito 1-3 mm.
Quando però c’è una gengivite o una parodontite, questo spazio si approfondisce, diventando una tasca. All’interno si accumulano placca, tartaro e batteri, che aggravano il problema se non trattati.
⚠️ Perché le tasche vanno tenute sotto controllo?
Le tasche non solo favoriscono l’accumulo batterico, ma rappresentano un segnale di malattia parodontale attiva.
Se non curate, possono portare a:
perdita progressiva dell’osso che sostiene il dente;
mobilità dentale;
caduta del dente nei casi più gravi.
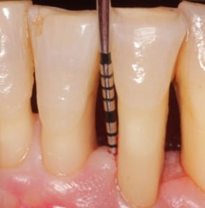
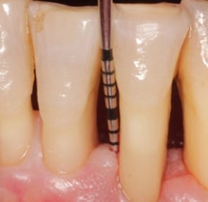
🔍 Come si scoprono?
Il tuo dentista o igienista utilizza una sonda millimetrata per misurare la profondità delle gengive attorno a ogni dente. Se trova valori oltre i 4 mm, si parla di tasca.
🛠️ Si possono curare?
Sì, e prima si interviene, meglio è.
Le terapie possono includere:
Igiene professionale profonda (levigatura o scaling);
Terapia parodontale non chirurgica;
Nei casi più avanzati, interventi chirurgici parodontali rigenerativi.
La chiave è agire per tempo e mantenere una corretta igiene orale quotidiana, con controlli regolari.
💬 Cosa fare se ti è stata diagnosticata una tasca parodontale?
Niente panico! È un problema comune e affrontabile.
Segui le indicazioni del tuo dentista, che valuterà la gravità e proporrà un piano personalizzato.
Sii costante con l’igiene a casa e i richiami professionali: è fondamentale per il successo a lungo termine.
✅ Conclusione
Le tasche non sono “buchi nei denti”, ma segni di un’infiammazione gengivale che si può controllare efficacemente.
Parlarne con il tuo dentista e agire presto ti aiuta a preservare il tuo sorriso sano nel tempo.
📞 Hai dei dubbi sulle tue gengive?
Prenota oggi una visita parodontale!
Saremo felici di valutare insieme la tua situazione e guidarti verso la salute gengivale.
