Innesto gengivale: funziona davvero?
Scopriamo insieme quali sono i risultati delle procedure di innesto gengivale.
1/31/20262 min leggere


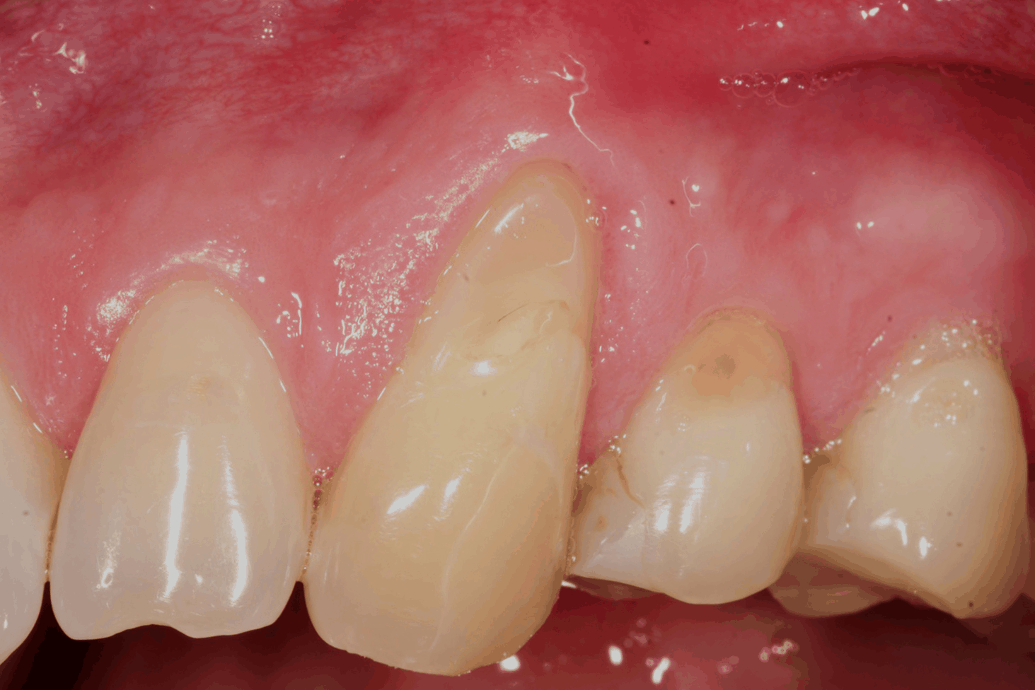
La recessione gengivale è una condizione molto comune. Molti pazienti si accorgono che la gengiva “si ritira”, lasciando scoperta una parte del dente che prima non era visibile. Questo può causare sensibilità, fastidio, problemi estetici e la paura che il dente possa peggiorare nel tempo.
Una delle domande più frequenti è:
“L’innesto gengivale funziona davvero?”
La risposta è sì, nella maggior parte dei casi funziona molto bene, ma è importante capire quando e con quali limiti.
Cos’è l’innesto gengivale?
L’innesto gengivale è un trattamento che serve a coprire la radice del dente scoperta e a rendere la gengiva più spessa e resistente.
In modo semplice:
la gengiva viene riposizionata nella sua sede corretta
quando necessario, viene aggiunto un piccolo rinforzo di tessuto
l’obiettivo è proteggere il dente e migliorare l’estetica
Non è solo un trattamento “estetico”, ma soprattutto protettivo e preventivo.
Quanto funziona davvero?
La letteratura scientifica mostra risultati molto incoraggianti.
Negli studi clinici:
in media si ottiene una copertura del 70–90% della radice esposta
nei casi più favorevoli, la copertura completa si ottiene in 8–9 casi su 10
Questo significa che, nelle giuste condizioni, la gengiva può tornare a coprire completamente il dente, con un aspetto naturale.
Quando i risultati sono più prevedibili?
L’innesto gengivale funziona meglio quando:
l’osso intorno al dente è sano
la recessione viene trattata in fase iniziale
l’igiene orale è buona
il paziente non fuma o fuma poco
In queste situazioni il trattamento è molto affidabile e i risultati tendono a durare nel tempo.
Ci sono dei limiti?
Sì, ed è importante dirlo con chiarezza.
I risultati possono essere meno prevedibili quando:
la recessione è molto avanzata
c’è già una perdita di osso tra i denti
l’igiene orale non è adeguata
il fumo è un fattore importante
In questi casi l’obiettivo non è sempre una copertura perfetta, ma:
ridurre la sensibilità
proteggere il dente
rendere la gengiva più stabile
prevenire ulteriori peggioramenti
Anche in queste situazioni, il trattamento può essere molto utile.
Benefici oltre l’estetica
Anche quando la copertura non è totale, l’innesto gengivale può:
ridurre o eliminare la sensibilità
rendere la gengiva più spessa e resistente
diminuire il rischio di nuove recessioni
migliorare il comfort durante lo spazzolamento
Per questo motivo viene spesso consigliato anche per motivi di salute, non solo estetici.
In conclusione
Sì, l’innesto gengivale funziona.
E nelle giuste condizioni, funziona molto bene.
È un trattamento prevedibile, sicuro e supportato da numerosi studi scientifici. Come per ogni procedura medica, è fondamentale una valutazione accurata per capire quali risultati siano realistici nel singolo caso.
Affrontare la recessione gengivale precocemente aumenta notevolmente le possibilità di successo.
