Le mie gengive si ritirano: perchè? si può fare qualcosa?
Scopriamo insieme perchè le gengive si ritirano e cosa possiamo fare
1 min leggere


Le recessioni gengivali: cosa sono e come prevenirle? 🦷
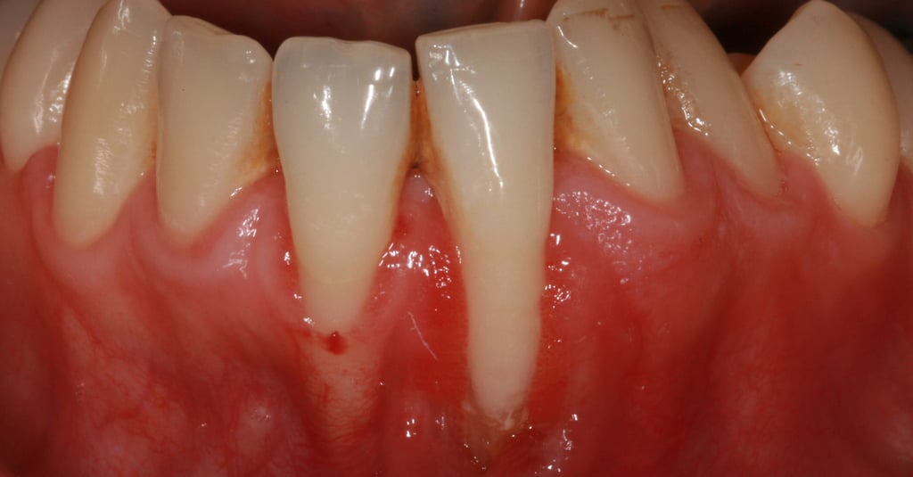
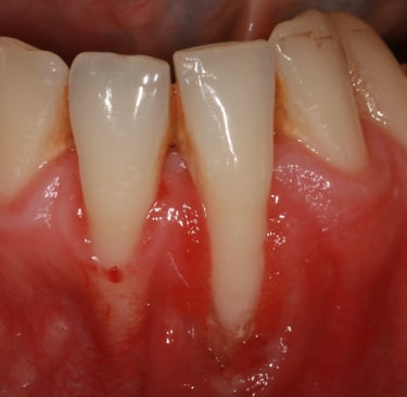
Le recessioni gengivali sono una condizione comune in cui il tessuto gengivale si ritira, esponendo una parte del dente o della radice. Questo problema non è solo estetico, ma può anche compromettere la salute orale.
Cause principali:
Spazzolamento troppo aggressivo 🪥
Gengivite o parodontite non trattate 🦠
Specialmente in presenza di gengive sottili, frenuli e affollamento dentale.
Sintomi da non sottovalutare:
Sensibilità al caldo, al freddo o agli zuccheri
Denti che sembrano più lunghi
Sanguinamento durante lo spazzolamento
Come prevenirle?
Usa uno spazzolino elettrico con sensore di pressione e testina per gengive sensibili.
Mantieni una buona igiene orale con spazzolino e filo interdentale.
Consulta regolarmente il tuo dentista per una pulizia professionale e controlli periodici.
Se hai già notato i sintomi…
Non aspettare! Prenota una visita specialistica. Oggi esistono trattamenti efficaci per il trattamento di queste condizioni.
Prendersi cura delle gengive è un investimento per il sorriso di domani. 😊✨
